Abstract
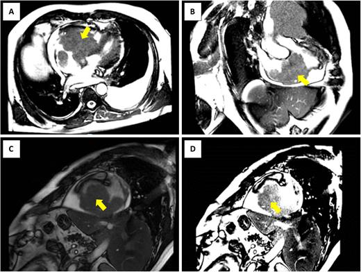
Chronic lymphocytic leukemia (CLL) is the most common hematological malignancy in the USA. (American Cancer Society, 2022) It is more prevalent in elderly males and commonly presents with a relatively benign course. Extra-medullary disease is very rare and is not well characterized. Skin and CNS involvement were reported to be the most common but other organs can also be involved. (Ratterman et al., 2014) We report a 51-year-old male patient with a past medical history of mutation negative CLL in remission, who presented with fatigue, dyspnea on exertion, night sweats and a neck mass. The physical examination revealed an enlarged non-tender left supraclavicular lymph node measuring 5-6 cm in diameter but was otherwise unremarkable. Laboratory investigations were notable for leukopenia and thrombocytopenia. Due to high suspicion for an underlying malignant process, a full body computerized tomography (CT) scan was obtained and showed an 8.8 cm soft tissue mass-like lesion occupying the majority of the right atrium and extending into the right ventricle, with probable pericardial involvement. Enlarged left supraclavicular and mediastinal lymph nodes were also present and had a mild mass effect on the traversing left internal thoracic artery and left pulmonary artery. A transesophageal echocardiogram and cardiac magnetic resonance imaging (MRI) (Figure 1) were done to better characterize the cardiac mass. They confirmed a large infiltrating mass (measuring 10 x 7.4 cm) in the right atrium and ventricle, extending into the inferior vena cava inferiorly and coronary sinus posteriorly. A bone marrow biopsy showed normocellular marrow with no infiltration. Left supraclavicular excisional lymph node biopsy was performed and histopathology was consistent with Small Lymphocytic Lymphoma (SLL)/CLL with increased proliferation index (up to 40% by KI-67 immunohistochemical stain) and normal karyotype. This confirmed extramedullary SLL/CLL relapse with lymphadenopathy and cardiac mass. The patient was started on chemo-immunotherapy with Obinutuzumab-Venetoclax with marked improvement in B symptoms and dyspnea. Cardiac infiltration by CLL B-cells has been shown on autopsies of CLL patients. (Schwartz et al., 1981) In practice, clinically significant cardiac or pericardial involvement by SLL/CLL is extremely rare with only a few case reports in literature. (Posch et al., 2021) (Nnaoma et al., 2019) (Goncalves et al., 2002) Extramedullary CLL disease suggests a more aggressive disease and warrants a high level of suspicion for diagnosis. (Ratterman et al., 2014)
Disclosures
No relevant conflicts of interest to declare.
Author notes
Asterisk with author names denotes non-ASH members.

This feature is available to Subscribers Only
Sign In or Create an Account Close Modal